2021时代天使智美隐形矫治病例大赛是由中国医学论坛报·今日口腔主办,时代天使集团协办的全国性学术活动。大赛旨在搭建国内隐形矫治行业的专业技术交流平台,分享近年来国内隐形矫治技术的新进展、新成就,促进中国口腔隐形矫治技术的发展与创新。

大赛启动以来吸引到数百个优秀病例参与投稿。大赛评审团从病例难度、诊断设计的合理性、治疗结果、疗程、病例资料的质量和完整性等方面进行综合评判挑选出50强。
恭喜德伦口腔集团正畸技术副总监兼总院正畸科主任熊小琴、德伦口腔集团区域正畸技术副总监兼任中山八正畸科主任翁嘉华、德伦口腔东风总院正畸科副主任王苏静、德伦口腔东风总院正畸科医生黄家华共四生强势晋级50强!值得一提的是,我院四生晋级50强,创下本届晋级人数多的口腔机构纪录。


患者主诉:牙齿不齐、龅牙、中线不齐、侧貌前突、露龈笑、面型不美观
治疗结果:面型改善、嘴突改善、露龈笑改善、笑线改善、笑线协调、间隙关闭、排齐牙齿、扭转纠正、咬合改善、维持I类关系、牙弓形态改善、上下弓形协调、正常覆合覆盖、深覆合改善、深覆盖改善、前牙唇倾度改善、中线对齐、CR-CO协调


患者主诉:牙齿不齐、侧貌前突、牙列不齐及嘴突
治疗结果:面型改善、嘴突改善、笑线改善、笑线协调、排齐牙齿、扭转纠正、咬合改善、维持I类关系、牙弓形态改善、上下弓形协调、正常覆合覆盖、前牙唇倾度改善、中线改善、中线对齐、CR-CO协调


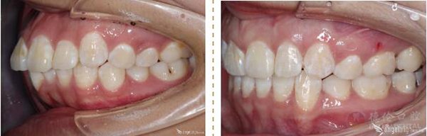
患者主诉:牙齿不齐、咬合不好、右下尖牙反咬合
治疗结果:笑线改善、笑线协调、间隙关闭、排齐牙齿、扭转纠正、咬合改善、牙弓形态改善、上下弓形协调、正常覆合覆盖、中线对齐、反合解除


患者主诉:牙齿不齐、咬合不好
治疗结果:排齐牙齿、咬合改善、达到I类关系、中线改善

目前大赛仍在进行中,祝愿我院四生乘风破浪斩获佳绩!
特色项目
牙齿问题在线咨询
020-8378 2905
专家推荐
网上自助挂号
患者
须知
贯彻国家卫生部新医改政策,严格落实解决挂号难、看病难问题,开展网络自助预约挂号服务。

口腔连锁品牌