苏先生
初诊时间:2017年7月(53岁)
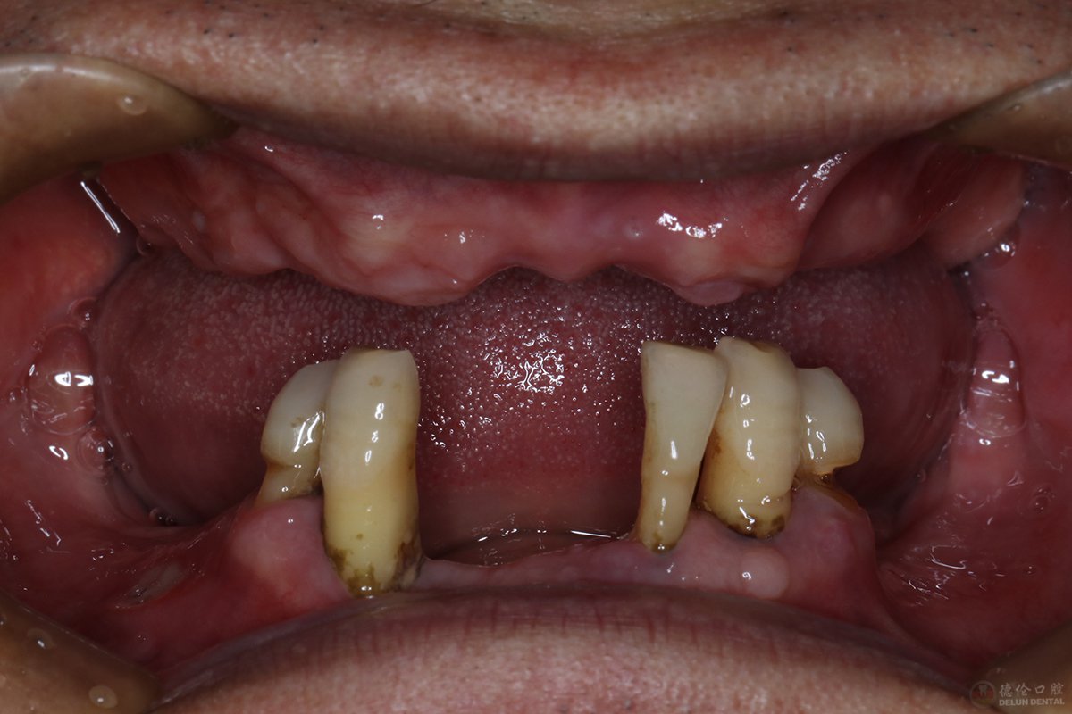
牙齿症状:上颌牙全部缺失、下颌牙缺失多颗(仅剩4颗)
主要诉求:寻找到一种省时、耐用的修复方法;解决无牙吃饭、咀嚼的烦恼
主诊医师:万斌
治疗方式:上颌ALL-ON-6种植牙+下颌活动义齿
治疗前后:
术后感言:口内感觉很好,比之前做的(活动假牙)舒适。德伦口腔的服务、设备很好,医生讲解的很详细,种植的技术很好。
牙病史:
口腔维养意识差,蛀牙演变成缺牙
苏先生在10几岁的时候牙齿就开始出现了问题——蛀牙疼痛,当时医疗条件差,口腔维养意识浅薄,苏先生索性将疼痛的蛀牙拔除。拔完牙后的苏先生,不仅没有了蛀牙疼的烦恼,而且缺1、2颗牙对于平时咀嚼,说话好像没有影响,于是缺牙修复一拖再拖。
在这里,德伦口腔种植科专家万斌医生提醒大家:蛀牙疼痛,如果是因牙髓炎、根尖炎引起的牙痛,可以通过根管治疗将感染的牙髓组织清理干净再填充上药物,保住牙根,将蛀牙治愈。选择盲目拔除,只是暂时性将痛苦减少,一旦有了缺牙不及时修复,其他健康牙齿也会受影响、脱落。所以蛀牙不可选择盲目拔除。
拔牙后问题不断,缺牙烦恼反反复复
随着时间的流逝,苏先生从开始的缺牙1、2颗到3、4颗,甚至越来越多,这时不得不考虑缺牙修复的问题,他开始戴上活动假牙。
苏先生对着镜子,如今一口牙齿已经大部分脱落,心中的滋味难以描述。
然而活动假牙戴在口内,会出现嵌塞食物、异物感强、使用寿命短等情况,于是,口腔医院、牙科诊所都是苏先生常去的地方。“这么多年反反复复,去过北京、东莞还有其他地方看牙,去哪里工作就在哪里看牙,这种痛苦至今难忘”说到这里,苏先生眼神里流露出对以往看牙经历的无奈。
苦寻真正修复缺牙的方法 同事推荐种植牙
直到2017年,苏先生的牙齿已经到了上半口牙全部缺失、下半口牙仅剩4、5颗的地步,多年来,活动假牙不适的问题依然困扰着他,然而却找不到好的方法。没想到当年轻易拔牙之举、平时口腔意识薄弱、多年戴活动假牙等这些行为竟然会导致牙齿沦为这般模样。
由于缺牙多年,苏先生的脸部内陷、下巴前凸,从正面和侧面看,都有着与他年龄不相符的苍老
2017年,苏先生在工作中偶然得知一位同样有牙齿缺失问题的同事做了种植牙,不仅成功修复了缺牙,而且没有活动假牙后续的一系列问题,同事推荐他也去试一下,就在德伦口腔。这时,苏先生才真正了解到种植牙竟然有着一系列活动假牙无法比拟的优势:美观、健康、舒适等,这些优势正是缺牙多年的他所渴望的。
比起要一直承受活动假牙的不适、忍受着无法啃咬东西的痛苦,还要面临口腔环境继续恶化的后果等等,想到这些,苏先生决定前往德伦口腔做种植牙。
2017年7月,苏先生来到德伦口腔,在咨询了解与诊断后,由德伦口腔种植科专家——万斌医生为苏先生进行缺牙的修复。
万斌 主治医生
德伦口腔种植科医生
ICOI国际种植会员
万斌医生2004年毕业于江西医学院,之后在国内大型口腔连锁医疗机构工作十几年,曾在广东省口腔医院种植中心进修学习,经常参加国内外大型种植学术活动,紧跟国际前沿,熟练掌握应用国际前沿技术,成功为数千位患者种植治疗。
根据苏先生的口腔状况以及个人的其他情况,万医生及其医护团队为其定制了上颌ALL-ON-6种植牙+下颌活动义齿的修复方案。万医生表示:像苏先生一样,很多人的牙齿只是缺失1、2颗,不影响生活,如果不及时修复治疗,缺牙很可能会更加严重,修复的代价更大。
2018年,在万医生团队的努力下,苏先生的牙齿终于如愿种好了。种牙后的苏先生满心欢喜,笑的时候大方地露出牙齿,从此不再害怕别人特别注意自己的牙齿了。
种牙感言:“种牙后想尝试吃苹果、啃排骨”
被问及种牙后想去做什么,苏先生不好意思地说:其实我一直想着做完牙要去吃苹果,吃排骨,好好咬,慢慢啃,一定很香!
和许多缺牙的患者一样,苏先生一直被缺牙困扰,无法随心所欲的吃吃喝喝,这么多年错过了许多品尝美食的乐趣,种完牙后,这个普通的愿望终于要实现了!
特色项目
牙齿问题在线咨询
020-8378 2905
专家推荐
网上自助挂号
患者
须知
贯彻国家卫生部新医改政策,严格落实解决挂号难、看病难问题,开展网络自助预约挂号服务。

口腔连锁品牌