春回大地万物复苏!对许多缺了牙的患者来说,春这个季节比起其它的季节来意义更重大,因为春天,意味着生长,如果牙齿缺失,就想在这个季节中萌“牙”。
修复牙齿的缺失,我们有活动假牙、烤瓷牙,还有种植牙。其中种植牙由于具备健康、耐用、美观等优势,近年来被越来越多人认可接纳。同时,口腔医学界也公认种植牙才是缺牙患者的理想修复手段!
4月17日,春临大地 万物萌“牙”——德伦口腔车陂精品院口腔种植分享沙龙火热报名中,留德数字化种植专家刘洪(车陂精品院院长)将为到场观众授课讲解种植牙,通过案例具体分析不同类型缺牙症状的种牙情况,种牙患者现场分享他们的种牙感受,还有机会抽取种牙2000大奖和精美礼品等多种看牙优惠。如果你对种植牙有任何疑问,报名到场,由专家为你消除疑惑。(限50名,到院就能领取1份口腔护理产品和1次口腔扫描CBCT)
活动时间:4月17日(周二)下午14:30~16:30
活动地点:车陂精品院(广州天河区中山大道中2号粤保中心广场1—2楼)
报名热线:020-83782905

刘洪 德伦口腔车陂精品院院长
临床经验:13年
【擅长项目】
数字化3D导板种植
各类型牙种植修复
各类型牙槽骨增量技术
All—on—4
【刘洪院长案例展示】
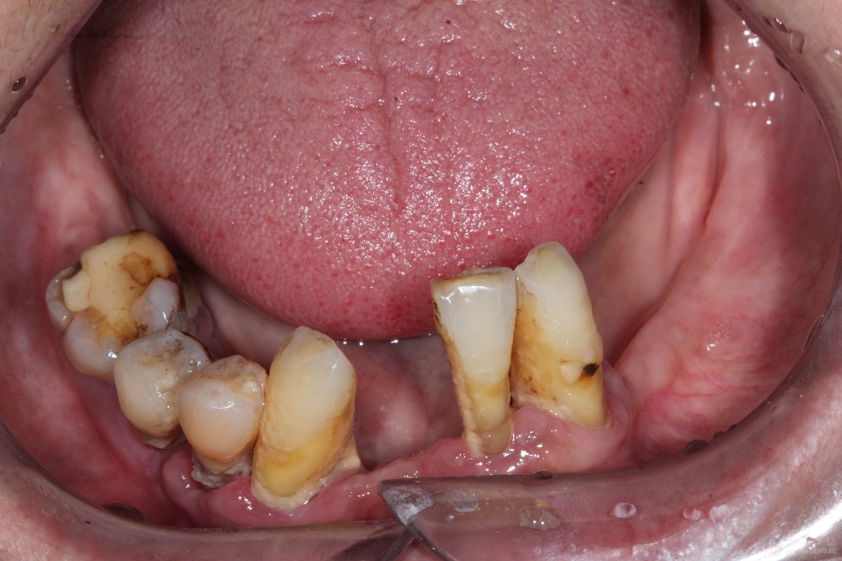
杨女士 70岁
牙齿症状:牙周炎,下颌无牙
修复方式:All—on—4即刻修复
案例经过:30岁开始陆续缺牙,期初采取活动假牙修复,后牙齿越缺越多导致无法正常饮食、睡眠,到我院时下颌只剩3颗摇摇欲坠的牙齿,拔出下颌无法保留的3颗牙后进行半口种植修复。


特色项目
牙齿问题在线咨询
020-8378 2905
专家推荐
网上自助挂号
患者
须知
贯彻国家卫生部新医改政策,严格落实解决挂号难、看病难问题,开展网络自助预约挂号服务。

口腔连锁品牌