本周五,将迎来我国农历中一个非常重要的节气――冬至。冬至大如年,冬至日人们都互相庆贺。“十月一,冬至到,家家户户吃水饺”“吃了冬至饺子不冻耳朵”,这一天北方人通常会吃饺子。而在南方,人们主要吃汤圆,寓意团团圆圆。
冬至这天,下班的、放学的、外出的……无不想着早点回家。如果那天正好有约,不妨提前计划好,争取尽快把事情完成,早点回去陪陪家人。
正畸专家提前约,让冬至早点回家
冬至那天,如果有朋友需要找正畸医生,担心到院后排队等候太久怎么办呢?
如果能提前预约医生,当天按时到院,不用排队就能看牙。早点回家陪家人吃汤圆,团团圆圆。想预约其他日期的医生,也请往下看。
专家一
缪耀强 主任医师/教授
德伦口腔集团正畸技术总监
临床经验:33年
擅长技术:SPEDD自锁矫治、下颌磨牙水平阻生矫治、功能性矫治、固定矫治各种错牙合畸形。
案例展示:


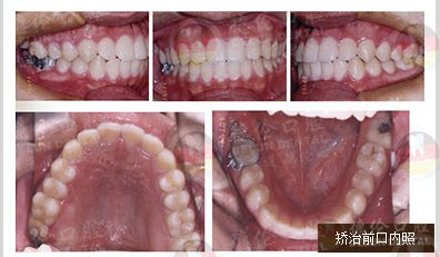
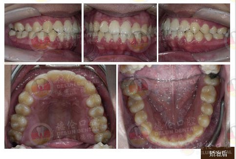
男 17岁
牙齿症状:下颌右侧第二、第三磨牙水平阻生,下颌左侧第三磨牙水平阻生
矫治方法:下颌拔除两颗第三磨牙(智慧齿)
发表于全球口腔正畸学界著名杂志J.Clin.Orthod
出诊时间:12月25日
专家二
杨凌 教授
40多年专攻口腔正畸
临床经验:40年
擅长技术:Edgewise技术、预防性矫治、阻断性矫治
案例展示:
出诊时间:12月23日
专家三

邓毅 主治医师
替牙期青少年功能矫治专家
擅长项目: 自锁托槽矫治 替牙期青少年功能矫治 无托槽隐形矫治
案例展示:

小俊 11岁(替牙期)
牙齿症状:龅牙
治疗方法:自锁托槽矫正
术后效果:解决嘴唇突出的问题,面部美观也得到协调
出诊时间:12月22日
专家四
黄家华 磁力功能性矫正专家
专治青少年骨性地包天
临床经验:10年
擅长项目:青少年磁力功能性矫治、自锁托槽矫治、无托槽隐形矫治
案例展示:

明明 男 14岁
牙齿症状:严重骨性III类(地包天)
矫正时间:6个月
矫正方法:磁力功能性矫治
术后感言:觉得下巴越来越长,咬东西也越来越难,很害怕就催着父母带我去检查,黄医生确诊后说是骨性地包天,需要立即矫治,不然情况会随着年龄的增加而加剧,采用磁力功能性矫治,非常快6个月就矫正好了,再也不担心下巴变长的丑样了。
出诊时间:12月22日
冬至日,别忘了早点回家吃汤圆。
特色项目
牙齿问题在线咨询
020-8378 2905
专家推荐
网上自助挂号
患者
须知
贯彻国家卫生部新医改政策,严格落实解决挂号难、看病难问题,开展网络自助预约挂号服务。

口腔连锁品牌